A medida que se envejece, es probable que las rodillas sean menos tolerantes cuando se trata de subir y bajar las escaleras. Ahora, un estudio apoyado en parte por los investigadores financiados por el Departamenteo de Agricultura de Estados Unidos (USDA por sus siglas en inglés) sugiere, que no recibir la suficiente vitamina D en la dieta puede poner en mayor riesgo el desarrollo de osteoartritis en las rodillas.
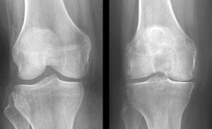
La osteoartritis se produce cuando la amortiguación natural entre articulaciones en el cuerpo se desgasta, lo que permite que los huesos se rocen. Con un estimado de 27 millones de personas de sucumbir a la osteoartritis, hay un interés significativo en la búsqueda de formas para prevenir o tratar la condición.

El equipo de investigadores, dirigido por el epidemiólogo Fang Fang Zhang y la nutricionista Sarah Booth, investigó la posible interacción entre los niveles circulantes en sangre vitamina D y la hormona paratiroidea (PTH) en la progresión de la artrosis de rodilla en adultos. PTH está involucrado en el metabolismo de la vitamina D.
Los científicos observaron un subconjunto de los datos recogidos durante un estudio longitudinal llamado la Iniciativa Osteoartritis, o la OAI, que es un gran estudio de las personas físicas, o en riesgo de, contraer artrosis de rodilla.
Los participantes del estudio tenían entre 45 y 79 años y tuvieron al menos una rodilla con la evidencia de osteoartritis. Los investigadores se centraron en un total de 418 voluntarios para los que las concentraciones séricas de la sangre de la vitamina D y la PTH estaban disponibles y para quién las radiografías para evaluar la progresión de la artrosis de rodilla estaban disponibles. Se siguieron a los voluntarios durante 4 años, y allí la progresión de osteoartritis de rodilla fue localizada y relacionada con la vitamina D y los niveles de PTH en la sangre.
En comparación con los voluntarios con niveles saludables, los participantes con niveles bajos de vitamina D tenían más del doble el riesgo de contraer la enfermedad. Las personas que tenían tanto altas concentraciones de PTH, vitamina D baja tenían tres veces más probabilidades de empeorar durante el estudio que aquellos con niveles normales de ambos.
Insuficiencia de vitamina D se definió como aquellos con menos de 15 nanogramos por mililitro de suero de la sangre, en consonancia con el Instituto de Medicina (IOM) de las Academias Nacionales, que publica las referencias y los requerimientos de vitaminas, minerales y otros nutrientes para las personas sanas. La vitamina D de la OIM recomienda una cantidad diaria de al menos 600 unidades internacionales (UI) al día durante los 4 años de edad a través de 70 y 800 UI para los adultos mayores de 70.
Los científicos concluyeron que la deficiencia de vitamina D es un factor de riesgo para el aumento de la progresión de la osteoartritis de rodilla, y que el aumento en la ingesta dietética adecuada puede ser beneficiosa para las personas con la rodilla osteoarthritis.
Más información: www.usda.gov













